🌿 임신 17주, 입덧 졸업 후 소화불량의 나날들
17주에 들어서며 비장한 마음으로 입덧약을 끊어보기로 했다.
이제껏 자기 전 한 알을 복용해야 속이 편했지만, 언제까지 약에 의존할 수는 없다는 생각이 들었다.
끊은 다음 날은 속이 더부룩했지만, 며칠 버티다 보니 또 몸이 적응했다.
많은 사람들이 임신 중기를 ‘황금기’라 부르지만 모든 임산부에게 해당되는 말은 아닌 듯하다.
입덧을 졸업하니 대신 소화불량과 속쓰림이 찾아왔다.
그 와중에 식욕은 왕성해져서 먹고 체하기를 반복하는 나날이 반복됐다.
입덧이 가장 심했던 8~10주차에는 임신 전보다 3kg이 빠졌는데,
17주부터는 체중이 다시 회복되더니 21주에는 +3kg까지 증가했다.
의사 선생님은 “임신했다고 두 사람 몫으로 먹을 필요는 없어요. 체중 관리를 잘해야 합니다.”라고 조언했다.
임신하면 먹고 싶은거 다 먹어도 되는 줄 알았는데.. 벌써부터 걱정이다.
🩺 20주 3일 중기 정밀초음파 후기
드디어 기다리던 중기 정밀초음파!
이 검사는 보통 임신 20~22주에 진행하며,
태아의 장기·사지·뇌·심장 등을 정밀하게 관찰해 기형 여부를 확인한다.
검사는 약 20~30분 소요되며,
태아의 주요 장기 구조를 하나씩 확인하면서 다양한 의학 용어가 등장한다.
까먹기 전에 정리해둔 초음파 용어와 결과를 아래에 남겨둔다.
1. 머리 및 뇌 구조

1) BPD(Biparietal Diameter, 머리 직경)/ HC(Head Circumference, 머리둘레) : 5.07cm /18.99cm

2) LV (Lateral Ventricle, 뇌실)
가쪽 뇌실(LV) : 아기의 뇌 안, 뇌척수액이 흐르는 공간
·측정값: 8.23mm, 6.32mm
·정상범위: 일반적으로 10mm 이하이면 정상
→정상
3) CSP (Cavum Septi Pellucidi, 투명중격공간)
CSP : 태아의 두 뇌 반구 사이에 존재하는 얇은 공간으로, 뇌의 정상 발달을 확인하는 지표
→ 정상
4) Cereb (Cerebellum, 소뇌)
Cereb :운동 조절과 균형을 담당, 소뇌의 크기 중요
· 측정값: 2.10 cm
· 정상범위: 20주 기준 약 19~22mm 정상
→ 정상
5) CM (Cisterna Magna, 대조수조)
CM : 소뇌 뒤쪽에 있는 뇌척수액이 고이는 공간
· 측정값: 3.71mm
· 정상범위: 2~10mm 정상
→ 정상
6) NF (Nuchal Fold, 목덜미 두께)
NF : 태아의 목덜미 뒤쪽 피부 두께를 의미, 염색체 이상(특히 다운증후군) 선별에 참고
· 측정값: 5.02mm
· 정상범위: 20주 기준 6mm 이하 정상
→ 정상
2. 심장 구조 확인 (4CV,3V, IVS, A-A, LV OT, RV OT)

1) 4CV (Four Chamber View, 4심방 단면)
심장의 4개 방(좌·우심방, 좌·우심실) 이 한눈에 보이는 장면
→ 좌우 크기가 균형 있고 벽이 잘 구분되면 정상
2) 3V (Three Vessel View, 3혈관 단면)
심장에서 나오는 세 가지 주요 혈관(폐동맥, 대동맥, 상대정맥)을 함께 보는 단면
→ 세 혈관이 일정한 크기로 잘 배열되어 있다면 정상 혈관 구조

3) IVS (Interventricular Septum, 심실중격)
IVS : 좌심실과 우심실 사이 벽(중격)을 뜻함
→ 이 부분에 구멍이 있으면 심실중격결손(VSD)이라고 하는데,
위 사진처럼 중격이 잘 보이고 화살표로 표시된 부분에 단절 없이 이어져 있다면 정상

4) A-A (Aortic Arch, 대동맥궁)
A-A : 대동맥궁은 심장에서 나와 온몸으로 혈액을 보내는 중요한 통로
→ 활처럼 휘어지는 모습이 잘 보이면 정상적으로 형성된 것을 의미

5) LVOT / RVOT
LVOT (Left Ventricular Outflow Tract)
→ '좌심실 유출로', 좌심실에서 대동맥(Aorta)으로 피가 나가는 통로
혈류가 한쪽 방향으로 잘 흐르는지, 대동맥이 제대로 연결되어 있는지 확인
RVOT (Right Ventricular Outflow Tract)
→ '우심실 유출로', 우심실에서 폐동맥(Pulmonary artery)으로 피가 나가는 통로
폐동맥이 정상적으로 심장에서 나오는지 확인
3. 신장 발달 및 혈류 확인

1) RK(Right Kidney, 오른쪽 신장) : 정상 발달 확인
2) LK(Leftt Kidney, 왼쪽 신장) : 정상 발달 확인
3) 컬러 도플러 영상 : 빨강, 파란색은 혈류의 흐름을 나타냄. 양쪽 신장으로 혈액이 잘 공급되는지 확인
4. 항문 발달 및 개방 확인

1) ANUS(항문)
→ 화살표 부분이 통로가 막혀있지 않은지 확인
→ 직장과 항문이 연결되어 있는지 확인
5. 척추 발달 확인

1) SPINE (척추)
SPINE: 척추, 아기의 등뼈 부분
→ 척추뼈가 곧게 연결되어 있는가
→ 틈이 벌어지거나(이분척추) 이상은 없는가
→ 척수관(신경이 지나는 통로)이 피부로 잘 덮여 있는가
즉, 신경관 결손(척추기형) 여부를 확인
2) COCCYX (꼬리뼈)
COCCYX: 꼬리뼈, 척추의 가장 끝부분
→ 척추가 엉덩이 쪽까지 정상적으로 이어지는지 확인
→ 척추 끝이 매끄럽게 마무리되어 있고, 피부층으로 덮여 있다면 정상
6. 사지 발달 확인


1) HL(Humerus Length, 위팔뼈 길이)
상완골 길이를 측정하여 태아의 키 성장 추이 확인
2) FL(Femur Length, 허벅지 뼈 길이)
대퇴골 길이를 측정하여 태아의 키 성장 추이 확인, 태아 체중 추정


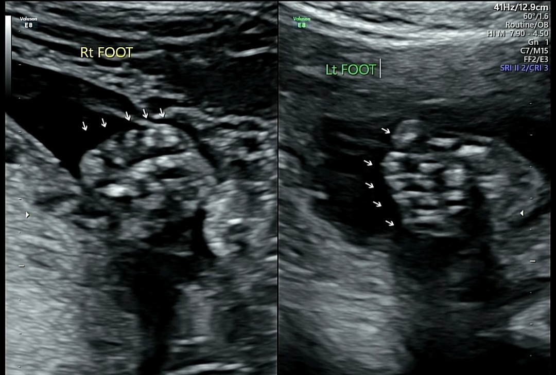
3) Lt HAND(왼쪽 손)/Rt Hand(오른쪽 손)/Lt FOOT(왼쪽 발)/Rt FOOT(오른쪽 발)
양쪽 손가락, 발가락 모양 및 개수 확인
7. 얼굴 발달 확인


1) NOSE(코)/LIP(입술)
2) LT EAR(왼쪽 귀)/RT EAR(오른쪽 귀)


3) 양쪽 안구
8. 배 둘레 확인

AC (Abdominal Circumference, 복부둘레)
체중 추정 및 영양 상태 확인
정밀 초음파에서 보는 항목이 많기 때문에 하나하나 자세히 보고 까먹지 않으려고 애썼다.
꿀떡이가 주먹을 쥐고 있는 바람에 손가락 개수 세는 것도 쉽지 않았다.
이 시기에 진행하는 정밀 초음파에서는 신체의 기형을 70%의 정확도로 진단할 수 있다고 한다.
다행히 모든 항목에서 정상소견을 보여 잘 자라준 꿀떡이에게 고마울 따름이다.
📸 주수별 배 사진 기록
임신 중 배가 얼마나 불러올지 궁금해서 한 달에 한 번씩 주수사진을 찍고 있다.
초기에는 내배인지 아기배인지 구분이 안 갔지만, 이제는 21주 차에 접어들며 배가 눈에 띄게 불러왔다.
앞으로 몇 달간 변화가 더 클 테니 꾸준히 기록해보려 한다.

이제 4주 뒤 대망의 임당검사가 예약돼 있다.
친언니들이 모두 임당에 당첨되었던지라 너무도 불안한데.. 제발 무사 통과하길!
다음 기록도 계속되리!
'임신 육아 정보 > 임신 일기' 카테고리의 다른 글
| [육아정보] 초보 부모 필독! 헷갈리는 아기 옷 종류 완벽 정리-스와들업, 속싸개, 배냇저고리, 바디슈트 등 총정리 (1) | 2025.11.12 |
|---|---|
| [임신정보] 임신성 당뇨 완벽 가이드:원인,증상,검사 기준부터 관리 방법까지 (0) | 2025.10.31 |
| [임신일기 #6] 임신 12주~16주 기록, 니프티 결과 확인 & 첫 태동, 신경관결손 검사 후기 (0) | 2025.09.26 |
| [임신정보] 베베폼 바우처 사은품 후기 & 인천 임산부 교통비 지원 신청·지급 후기 (1) | 2025.09.17 |
| [임신일기 #5] 임신 12주 기록|1차 기형아 검사 & 맘가드 니프티(NIPT), 성별 확인, 목 투명대, 코뼈 초음파 (0) | 2025.09.11 |